Corda de pular é encontrada dentro da bexiga de homem no Japão
O caso foi relatado pela revista médica Urology Case Reports
Médicos encontraram uma corda de pular na bexiga de um homem de 79 anos. O idoso procurou atendimento médico relatando sentir dores ao urinar. Depois da realização dos exames de imagens, a equipe médica se assustou ao encontrar o objeto, que tinha 2,3 metros de comprimento.
O caso ocorreu no Japão e foi relatado em artigo na revista médica Urology Case Reports. Conforme os médicos apontaram, o paciente revelou ter inserido a corda pela uretra. Ele não explicou o motivo, mas a equipe médica acredita que a intenção do idoso seria ter satisfação sexual.
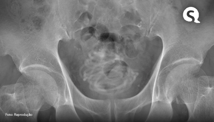
“Primeiro realizamos um ultrassom e identificamos um objeto grande na bexiga do paciente. Depois fizemos um raio-x, que revelou um corpo estranho enrolado em forma de fio. Em seguida, fizemos uma tomografia que nos ajudou a escolher o melhor jeito de tirar a corda e usamos um programa de computador em 3D para nos direcionar. Percebemos que seria impossível puxar a corda pelo pênis”, disse Toshiki Kijima, professor de urologia na Dokkyo Medical University, autor do documento.
CONFIRA AS FOTOS:

Legenda: Imagens obtidas pela equipe médica
Foto: Reprodução/Urology Case Reports

Legenda: Corda retirada do corpo do homem
Foto: Reprodução/Urology Case Reports
Os profissionais de saúde tiveram que realizar uma pequena incisão na região do abdômen para retirar o objeto do corpo do homem. Apesar de a corda ter ficado extremamente comprimida no paciente, ele não teve complicações sérias.
No texto, os médicos alertam que introduzir objetos não indicados no corpo para satisfação sexual é muito arriscado e deve ser evitado.
Fonte: Diário do Nordeste

